Proteze za zube Podgorica
Gubitak nekoliko zuba može predstavljati ozbiljan problem. Pored estetskog problema, može izazvati problem pri žvakanju i poremećaj muskulature i zglobova. Izrada proteze za zube se smatra jednim od rješenja u takvim situacijama ili u situacijama kada ne postoji mogućnost za ugradnjom implanta.
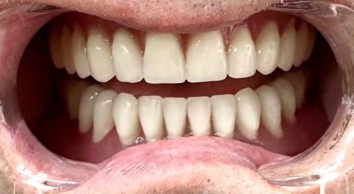
Šta su proteze za zube i koje su njihove prednosti?
Proteze za zube su nadoknade koji se koriste za zamjenu nedostajućih zuba radi poboljšanja opšte oralne zdravstvene dobrobiti.
- Omogućavaju pacijentu normalno govorenje, žvakanje i smijanje.
- Daju prirodan osmjeh.
- Poboljšava izgled lica i vraća samopouzdanje.
- Brzo i efikasno rješenje za gubitak zuba.
- Finansijski najpovoljnije rješenje.
Procedura izrade zubnih proteza?
- Prvi korak je stomatološki pregled radi uspostavljanja dijagnoze i odabira odgovarajuće proteze u skladu sa brojem preostalih zuba. Za ovaj pregled obavezno je da donesete Vaš ortopan snimak, ukoliko ga nemate možemo ga odraditi u toku pregleda u našoj ordinaciji.
- Drugi korak je uzimanje otiska. Otisci se uzimaju pomoću mekih ili tvrdih materijala, a postoje i digitalne tehnologije za skeniranje vilica.
- Na osnovu otiska prave se modelima pema kojima se prilagođava oblik proteze i vrši se odabir boje zuba, kako bi se postigao prirodan izgled.
- Proba zubne proteze se vrši na licu mjesta. Tehničari su tu da koriguju zagriz i izgled, sve dok pacijent ne bude u potpunosti zadovoljan.
Vrste zubnih proteza
- Mobilne nadoknade koje pacijenti mogu lako stavljati i vaditi iz usta. Tu spadaju totalne, parcijalne akrilatne (pločaste) i skeletirane proteze.
- Fiksne nadoknade koje su komfornije, trajnije i sličnije su prirodnim zubima, a tu spadaju krunice i mostovi.
Totalne i parcijalne akrilatne proteze
- Totalne proteze su rešenje u slučaju potpune bezubosti. One nisu trajno rješenje, već ih je nakon odredjenog vremenskog perioda neophodno promijeniti zbog anatomskih promjena u ustima.
- Parcijalne proteze se koriste kada pacijent izgubi samo nekoliko zuba. Ove proteze se vezuju za preostale zube kukicama ili kopčama.
Skeletirana proteza za zube (vizil proteza)
Parcijalna skeletirana proteza ili vizil proteza pruža veću izdržljivost zbog ugrađenog metalnog skeleta. Manjom površinom se naslanja na nepce i tako smanjuje osjećaj stranog tijela u ustima. Pričvršćene su za preostale prirodne zube.
Silikonske proteze za zube (valplast proteze)
Valplast proteze su korisne kada pacijent ima određen broj svojih zuba ili se planira rad na implantima. Ove proteze nude ugodnije rješenje u poređenju s klasičnim parcijalnim protezama, budući da su savitljive i ne sadrže žičane elemente. Napravljene su od fleksibilnog materijala, koji ih čini čvrstim, otpornim na lom, tanjim i udobnijim za nošenje.
Proteze na implantima
Proteza na implantima koristi između dva i četiri dentalna šrafa po vilici za pričvršćivanje na zubne implante. Ovo je cjenovno povoljnija opcija, prednost joj je i što se može skidati. Međutim, na donjoj vilici može izazvati određene neprijatnosti, kao što je povremeno zapinjanje hrane i blago pomjeranje. To može uticati na udobnost u poređenju s fiksnim zubnim radom.
Navlake za zube - iskustva naših pacijenata
ODLIČAN Zasnovano na 188 recenzije Objavljeno na Nadja Scepanovic Savrseni, ljubazni i strucni.Sreca je,imati ih u ovom gradu.Objavljeno na M&T Dr. Sandra najbolji doktor :)))Objavljeno na ugljesa bakocevic Sve pohvale stomatološkoj ordinaciji Dr Filimanovic. Najbolji su, srdačni, nasmijani i opušteni.Objavljeno na Djordje Resetar DESETKA! Preljubazno osoblje, sve pohvale za strucnost i posvecenost pacijentima. Vise sam bio tretiran kao clan porodice nego pacijent sto me je posebno obradovalo, topla preporuka svima☺️Objavljeno na Jovan Vukcevic Velika zahvalnost stomatološkoj ordinaciji Dr Filimanović, a posebno doktorici Nataši Ružić, koja je izuzetno profesionalna, stručna i nevjerovatno ljubazna. Pristup koji ima prema pacijentima uliva veliko povjerenje i sigurnost, a njen smiren i pažljiv rad mnogo znači, posebno prema nekom ko posjeduje blagi strah od stomatologa.. Cijela ekipa u ordinaciji je preljubazna, atmosfera je prijatna i sve ide brzo i bez stresa. Sve pohvale!Objavljeno na Светлана Бедова Большое спасибо врачам. Немедленно меня приняли с острой болью. Были очень любезны и профессиональны.Objavljeno na Ivana Čojbašić Perović Od prvog kontakta osjećala sam se apsolutno sigurno, bezbjedno zbrinuto. Kao neko ko od djetinjstva ima strah od zubara, prvi put u životu sam doživjela da je neko taj strah uvažio i prilagodio pristup. Doktorica Slađa je u dva susreta uspjela da mi pomogne da pobijedim strah. Ordinacija je moderna, čista, organizovana i puna pozitivne energije. Nakon intervencije dobila sam sve potrebne instrukcije i osjećaj da mogu da se obratim u svakom trenutku ako nešto zatreba. Toplo preporučujem svima, ovdje nećete biti samo pacijent, već osoba kojoj se pristupa s poštovanjem, znanjem i ljudskošću.
Koja je cijena zubne proteze po vilici?
-
Valplast proteza 400€
-
Akrilatna proteza 300€
-
Parcijalna skeletirana proteza 500€
Često postavljana pitanja
Kome se preporučuju zubne proteze?
Zubne proteze se preporučuju pacijentima koji su izgubili veći broj zuba ili su u stanju potpune bezubosti.
Kako se održava i čisti zubna proteza?
Zubnu protezu treba redovno čistiti četkicom za proteze kako bi se uklonile naslage hrane i bakterija. Preporučuje se i svakodnevno potapanje u sredstva za čišćenje proteza ili blagi rastvor vode i sirćeta za dodatnu dezinfekciju.
Privikavanje na zubnu protezu?
Privikavanje na zubnu protezu može zahtijevati vrijeme, a pacijenti mogu iskusiti nelagodnosti ili promjene u govoru. Redovno nošenje proteze pomaže u lakšem prilagođavanju.
Da li žulja proteza?
Žuljanje proteze može se javiti tokom prvih dana nošenja, dok se desni i usta privikavaju. Ukoliko nelagodnost ili žuljanje potraje, preporučuje se posjeta stomatologu radi prilagođavanja.
Koja je najbolja zubna proteza?
Najbolja zubna proteza zavisi od individualnih potreba pacijenta, zato je važno konsultovati se sa stomatologom kako bi se pronašlo adekvatno rješenje.
Vijek trajanja zubnih proteza?
Vijek trajanja zubnih proteza se razlikuje od pacijenta do pacijenta. Zavisi od vrste proteze, održavanja i kvaliteta materijala od kojeg je izrađena. Obično traju do 5 godina.
Veoma cijenim prirodnu ljepotu zuba, te iz tog razloga preferiram fiksne radove kao što su krunice i mostovi. Međutim, u situacijama poput finansijskog ograničenja ili nedostatka kosti za implante, zubne proteze su nužno rješenje.`
dr Sladjana Filimanović